Traitements ados
- >Orthodontie vestibulaire
Après avoir normalisé leurs troubles de croissance avant 12 ans, les adolescents peuvent ensuite reprendre un traitement permettant d’aligner parfaitement leurs dents définitives, d’obtenir un engrènement optimal et un sourire éclatant, grâce à la méthode la plus couramment utilisée à cette période: l’orthodontie vestibulaire.
Elle consiste à coller des « bagues » ou « brackets » ou « attaches », en métal ou en céramique, sur les faces apparentes des dents pour les réaligner. Elles sont reliées entre elles par un arc métallique qui est changé régulièrement : c’est lui qui guide le déplacement des dents.
Aujourd’hui, les traitements orthodontiques classiques (ou vestibulaires) sont très doux et confortables tout en respectant l’intégrité des organes dentaires.
Technique DAMON
C’est aujourd’hui la technique de pointe dans le monde de l’orthodontie vestibulaire, qui privilégie des forces légères, des attaches petites et confortables, des traitements planifiés avec très peu d’extractions, et un sourire final très esthétique grâce au bracket auto-ligaturant Damon Q2/ultima.


C’est une technique très appréciée des patients qu’ils soient adultes ou adolescents.
Des attaches en céramique Damon CLEAR très peu visibles (uniquement sur les incisives et les canines supérieures au cabinet) permettent aussi d’obtenir des résultats fiables et des sourires agréables, même si la précision est un peu moindre.
- >Gouttières INVISALIGN
Comme les adultes, les adolescents peuvent désormais être traités grâce aux gouttières transparentes et invisibles (INVISALIGN) qui doivent cependant être portées avec rigueur 22h/24 pour obtenir un résultat désormais identique à celui de l’orthodontie vestibulaire.
En savoir plus sur les gouttières Invisalign
Cliquez sur le lien suivant https://www.invisalign.fr/treatable-cases.Vous pourrez y retrouver votre malocclusion et voir une animation de traitement en fonction de celle-ci

- >Carriere Motion
Dans le cas très courant où un patient présente une mandibule en retrait et un décalage entre les arcades dentaires dans le sens antéro-postérieur, cet appareil peut être installé sur les canines et les premières molaires au maxillaire supérieur.
Une gouttière doit être portée à l’arcade inférieure et des tubes collés sur les molaires inférieures.
Des élastiques sont à installer entre les canines supérieures et les molaires inférieures et doivent être portés 22h/24.
Au bout de 6 mois, les rapports entre le maxillaire et la mandibule seront devenus normaux : des bagues ou des gouttières INVISALIGN pourront alors être utlisées pour aligner les dents.
- >Cas particuliers
Agénésies dentaires
Environ 5% de la population présente l’absence d’une ou plusieurs dents, appelée agénésie.
Ce phénomène génétique est retrouvé en général chez plusieurs membres de la même famille, mais pas chez tous.
Le traitement consiste, soit à fermer l’espace de la dent absente, soit au contraire à aménager cet espace pour la pose d’un futur implant et d’une couronne. L’utilisation de bagues ou de gouttières est indispensable.
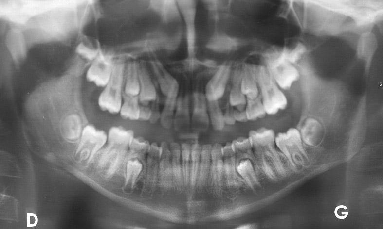
Canine incluse
Une canine définitive fait en général son éruption vers 11-12 ans, mais il n’est pas rare de voir une canine ne pas pouvoir sortir, la plupart du temps à l’arcade maxillaire, en raison d’un manque de place.
C’est pourquoi il faut commencer à s’en préoccuper dès 7-8 ans en élargissant la mâchoire supérieure, puis en faisant enlever les canines de lait si cela ne suffit pas.Malheureusement, malgré cela, les canines peuvent suivre un chemin oblique vers les incisives. Il faudra alors commencer à poser des bagues pour créer de la place, et si nécessaire, en dernier recours, ouvrir la gencive pour coller un bouton relié à un petit élastique pour pouvoir tirer sur la dent et lui permettre de faire son éruption.
C’est un chirurgien-dentiste spécialisé dans les techniques de petite chirurgie qui pratique cette intervention légère sous anesthésie locale en lien avec notre cabinet.

- >Contention
Après un traitement d’orthodontie (par bagues ou par gouttières), les dents mettent une année pour retrouver une certaine stabilité.
Nous installons donc des systèmes pour que les dents bougent le moins possibles, un peu comme un tuteur avec une plante.
Malgré la contention, les dents peuvent tout de même se déplacer de nouveau, ce qui nécessite une surveillance au cabinet d’au moins 3 ans.

Au cabinet, nous utilisons très souvent la technologie MEMOTAIN.
Il s’agit d’un fil de contention ajusté, confortable, individualisé grâce à l’empreinte optique et conçu sur mesure au laboratoire afin de s’adapter de manière personnalisée à chacun.

- >Compléments techniques
Remodelage des points de contact (Stripping)
Le remodelage dentaire, ou stripping, est une technique qui permet de modifier la dimension des dents en diminuant très légèrement l’épaisseur de l’émail de la dent de chaque côté de celle-ci.
Ce remodelage s’effectue par action mécanique (fraise diamantée ou disque) et/ou manuelle (papier abrasif ou strip) dans les zones où l’émail s’use naturellement. Cela permet de ménager un espace suffisant afin d’aligner les dents et de rétablir une bonne fonctionnalité.
C’est une intervention totalement indolore car située dans un tissu non innervé.
Des procédures précises sont utilisées pour évaluer la quantité maximale d’émail à supprimer, en général de 0.1mm à 0.5mm entre chaque dent.
La réduction dentaire, ou plutôt amélaire, est donc adaptée à la qualité de l’émail et à l’épaisseur de la dent et s’applique en général à des dents de forme triangulaire plutôt que rectangulaire.Ancrage osseux par mini-implants et minivis
Dans certains cas de traitement orthodontique, des petites vis peuvent être placées dans la partie osseuse afin d’avoir un ancrage orthodontique solide et de faciliter le mouvement des autres dents. Elles peuvent être utilisées pour des traitements simples ou complexes
Ces mini-vis sont retirées à la fin du traitement et ne laissent aucune séquelle.
Le taux de succès des ancrages par mini-vis est élevé.
Chirurgie orthognathique
La chirurgie orthognathique est une branche de la chirurgie maxillo-faciale. Elle permet de corriger certains déséquilibres entre les mâchoires, lorsque ceux-ci sont trop importants pour être traités uniquement par l’orthodontie.
Pour quels types de problèmes ?
- Mauvaise occlusion dentaire (engrènement entre les dents)
- Difficultés de mastication, respiration, élocution
- Déséquilibre du visage : anomalies de forme ou de volume du menton ( trop en avant ou trop en arrière/fuyant), lèvre supérieure trop en arrière, suites d’accident…
Avant tout traitement un bilan très complet sera effectué, ainsi que différentes radiographies et empreintes dentaires. L’occlusion dentaire (fermeture de la mâchoire) sera évaluée. Les différentes fonctions seront étudiées et l’impact esthétique analysé. L’intervention peut concerner l’une des mâchoires ou bien les deux.
Une fois posée la nécessité de l’intervention, l’orthodontiste et le chirurgien maxillofacial prépareront le plan de traitement.
CARRIERE Motion
Dans le cas très courant où un patient présente une mandibule en retrait et un décalage entre les arcades dentaires dans le sens antéro-postérieur, cet appareil peut être installé sur les canines et les premières molaires au maxillaire supérieur.
Une gouttière doit être portée à l’arcade inférieure et des tubes collés sur les molaires inférieures.
Des élastiques sont à installer entre les canines supérieures et les molaires inférieures et doivent être portés 22h/24.
Au bout de 6 mois, les rapports entre le maxillaire et la mandibule seront devenus normaux : des bagues ou des gouttières INVISALIGN pourront alors être utilisées pour aligner les dents.